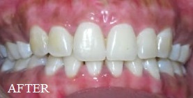
Among the cosmetic dental procedures you can have done, one of the most popular is laser gum bleaching. This is a procedure focused on the removal of brown or black discoloration that can often be found naturally in gum tissue. At The Perio Group, Dr. I. Stephen Brown is dedicated to giving you the most amazing outcome from your gum depigmentation work. Working with a dedicated dental team, Dr. Brown is focused on completing the work in the most efficient and professional manner possible.
Trust Your Oral Health to Top Periodontist,
Dr. Stephen Brown.
“We treat the cause, not the symptom.”
You can choose to get the work done in one or two visits to our Philadelphia office, and our stunning Periolase Laser will be used to help complete this work. This is the same laser that Dr. Brown uses for treating gum disease via the Laser Assisted New Attachment Procedure (LANAP). Laser gum bleaching has so many benefits for patients and is a great way of improving your teeth’s aesthetics, as well as boosting your confidence and self-esteem.
So what causes these black or brown patches to form on the gums? Well, the condition itself is known as gingival hyper-pigmentation, which is also known as ‘dark gums.’ Though this is nothing to be concerned about and not an indicator of underlying health conditions, it can be a source of embarrassment for many patients, and that is why our skilled team is happy to help you.
We guarantee a professional, safe, and effective treatment that can really help you get the most out of your teeth, and will leave you looking and feeling great in the process. Our skilled and qualified team is fronted by the acclaimed Dr. I. Stephen Brown, who has been awarded Philadelphia Magazine’s Top Dentist a staggering number of years in a row. You know you are getting the best possible treatment from us, and this can help to give you new confidence to improve your life in many ways.
Here is a video that beautifully explains what laser depigmentation is:
Dark gums is not a massively common condition, but it is one that can affect people of any race or ethnicity. However, studies indicate that it tends to be more common among patients with darker skin. Many things can cause gingival hyper-pigmentation to occur, however, two of the most common reasons are smoking and systemic illnesses. Patients taking certain medications may also find that this can contribute to the condition as well.
There are no health risks associated with this, but for many people, the aesthetics are important. Having a beaming smile, with even, pink gums is something so many of our patients crave, and this is what we can provide with our gum bleaching treatment.
It’s important to understand the appeal of getting this done, and what the process entails. So first, let’s take a look at the benefits of gum bleaching moving forward.
Reasons to Choose Laser Gum Whitening
- Lighten the color of your gums
- No need for scalpels of stitches
- Most patients report minimal to no pain from the process
- You get treated by a skilled, professional, and friendly team
- Heals very quickly
- Periolase Laser is safe, accurate, and efficient
- One-off procedure in most cases
- There is little to no recovery time
We are a patient-focused dental practice, with a team dedicated to getting the very best outcome for our patients. This is what prompted us to implement fast and comfortable laser gum lightening treatment. It’s a non-invasive procedure that we carry out safely and effectively, and it can have a wonderful impact on your life.
Understanding How the Whitening Process Works
When you first arrive at our offices, you will probably be a little nervous and apprehensive. This is perfectly normal for patients, and it’s nothing to worry about. Luckily, our helpful and friendly dental team will go out of their way to make you feel at ease and help you to relax. The first thing that will happen on arrival is that Dr. Brown will check your gums to make sure they are in good enough condition for the procedure to go ahead.
If you have fairly advanced gum disease, it might be necessary to get it treated before you are able to actually start the process. Once the procedure begins, Dr. Brown will apply a local anesthetic to the gums, before using the Periolase Laser to accurately and efficiently lighten the surfaces of the gums in the best possible way.
In terms of planning for the timing of the procedure, mostly you’re looking at one to two hours for the treatment, which is largely a stress-free process. You might find that you have some sensitivity to contend with following the laser gum depigmentation process, but this can be dealt with by using over the counter medication, so it’s nothing to be concerned about. In fact, many of our patients actually return to work directly following the procedure.
Don’t hesitate to get in touch with us today if you have any questions or queries about our laser gum bleaching services. Contact us in order to start taking your first steps toward better teeth and gums today!






